• 26700 Towne Centre Dr Ste 130 Lake Forest, CA 92610
  • Email Us
  • Call Today (949) 581-5151
  • Open Hour 09:00 AM to 5:00 PM
Dr. Behnaz Sharifi

My mission is to help my patients achieve superior oral health. Comfort, health and safety are my number one priorities

Dr. Behnaz Sharifi

Services Offered

Dental Exam

Dental Exam

Having regularly scheduled exams are vital to the health of your teeth and gums and one of the best ways to prevent bigger health issues.

Teeth Whitening

Teeth Whitening

Offering multiple effective options that will leave you with a brighter smile

Pediatric

Pediatric Dental

We advise parents to bring their infant for a dental screening by 12 months of age or as soon as the first tooth erupts in the mouth.

Bone Graft

Bone Graft

Bone grafting in the oral cavity today is a routine, predictable and painless procedure. Read more to see if Bone grafting is right for you.

Inlays and Crowns

Crown and Bridge

Severe tooth decay can sometimes destroy a tooth to the point where a filling cannot keep it intact. Left untreated, these teeth can break down even further. In these cases, dentists rely on dental crowns to protect what’s left of the tooth.

L-PRF

L-PRF

To enhance our grafting procedures we add the L-PRF protocol with its new advances into the very nature of the healing process.

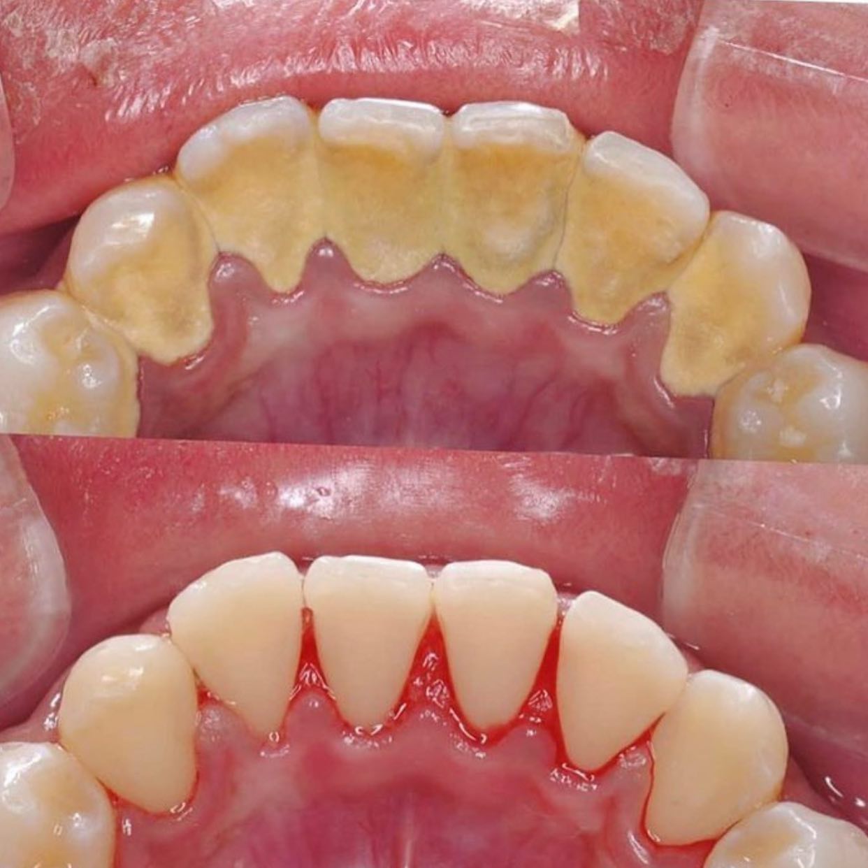
Peridontal Disease

Peridontal Disease

This happens when plaque spreads and grows beneath the gum line and toxins produced by the bacteria irritate the tissue. The gums then separate from the teeth, forming pockets and collecting debris.

Teeth

Orthodontics

Invaslign and tradional braces are available for almost all ages

White Filling

White filling

Routine cleaning removes plaque, stains, and tartar from your teeth and will prevent cavities and gum disease from occurring. whites in good shape.

Implants

Implants

Implant dentistry has made it possible for people who are missing their teeth to regain their confidence. Learn More About Implants.

Teeth Cleaning

Teeth Cleaning

Deep cleaning is one of the best non-surgical methods for better oral health and often prevents major surgical operations

Make An Appointment

Specialized Care From an Experienced Dentist

Our knowledgable staff is equiped to handle a wide range of oral health issues. Our goal is to provide an amazing experience and ensure all operations are as painless as possible

  • Crowns
  • Root Canals
  • Invisalign
  • Whitening
  • Sealant
  • white Filling
Our Team

Family Dentist

Able to treat the entire family, from children to adults

A Sneak Peak
Into Our Office

Our Amazing Staff

Dr. Behnaz Sharifi

Dr. Behnaz Sharifi

General Dentist
Dr. O

Dr. O

General Dentist
Nadine Paru

Nadine

Hygienist
Karina

Karina

Hygienist

What Our Patients Are Saying